Fortbildung

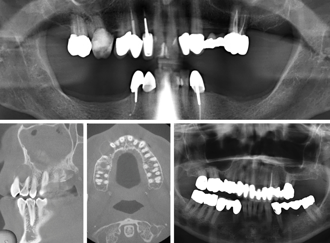
Oralchirurgische Herausforderungen bei Notfällen und Komplikationen

Oralchirurgische Herausforderungen bei
Notfällen und Komplikationen

Ort zmk bern, André Schroeder Auditorium,
Freiburgstrasse 7, 3010 Bern
Datum Donnerstag 20. November, 2025
Referenten Dr. Clemens Raabe
PD Dr. Valérie Suter
Kursgebühr

CHF 320.–  Zahnärztin/Zahnarzt
CHF 150.–  UniversitätsassistentInnen 100%
(mit Bestätigung der Universität)

 

Kursbeschreibung | Anmeldung

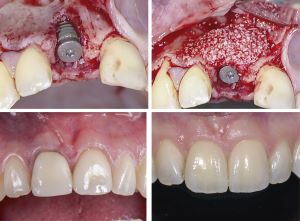
Management of extraction sites through alveolar ridge preservation and reconstruction therapies

2026: Management of extraction sites through alveolar ridge preservation and reconstruction therapies

Ort zmk bern, André Schroeder Auditorium,
Freiburgstrasse 7, 3010 Bern
Datum Donnerstag, 12. Februar 2026 
Referenten

Dr. Emilio Couso-Queiruga

Kursgebühr CHF  200.–  Zahnärztin/Zahnarzt
CHF 150.–   pro Person im Team-Preis (gleiche Praxis) 
(bitte bei Anmeldung erwähnen)
 

Kursauschreibung | Anmeldung

Stomatologie: erkennen, einordnen, behandeln

Stomatologie: erkennen, einordnen, behandeln

Ort zmk bern, André Schroeder Auditorium,
Freiburgstrasse 7, 3010 Bern
Datum Donnerstag, 19. März 2026
13.30–18.00 Uhr
Referenten

PD Dr. med. dent. Valérie Suter
Dr. Fabrice Dulla

Kursgebühr CHF 320.– Zahnarzt/Zahnärztin
CHF 230.– Dentalhygieniker/in
CHF 150.– Universitätsassistent/in 100%
(mit Bestätigung der Universität)
 

Kursbeschreibung  | Anmeldung

256 Shades of Gray: Röntgen-Differenzialdiagnostik

256 Shades of Gray: Röntgen-Differenzialdiagnostik 

Ort zmk bern, André Schroeder Auditorium,
Freiburgstrasse 7, 3010 Bern
Datum Donnerstag, 7. Mai 2026
Referenten Prof. Dr. Ralf Schulze
Kursgebühr CHF 200.–  Zahnärztin/Zahnarzt
CHF 100.–  UniversitätsassistentInnen 100%
(mit Bestätigung der Universität)
 

Kursausschreibung| Anmeldung

Interdisciplinary Course Departments Oral Surgery, Reconstructive Dentistry, Periodontology with workshops an live surgeries

32th ITI Education Week Bern - Synergy in Implant Dentistry - the Bernese Interdisciplinary Approach

Place School of Dental Medicine, André Schroeder Auditorium,
Freiburgstrasse 7, 3010 Bern
Date 17th-20st August 2026
Directors

Prof. Vivianne Chappuis
Prof. Martin Schimmel
Prof. Dr. Anton Sculean

Course fee CHF 4200.-- NON ITI Members
CHF 3500.-- ITI Members
CHF 1750.-- Postdocs
 

Topics | RegistrationAusschreibung

Gucken Sie den Experten über die Schultern

Gucken Sie den Experten über
die Schultern

Ort

Klinik für Oralchirurgie und Stomatologie
Abteilung für oral Diagnostic Sciences
zmk bern, Freiburgstrasse 7, 3010 Bern

Datum 1 Woche Fortbildung nach Absprache
Referenten

Prof. Dr. Vivianne Chappuis
Prof. Dr. Ralf Schulze
PD Dr. Valérie Suter
Dr. Clemens Raabe

Kursgebühr CHF 1500.--
 

Kurbeschreibung